Scarlett’s Fifth Heart Surgery Leaves Young Warrior Fighting Once More
There are moments in a parent’s life when pride has to be set aside, when love becomes louder than fear, and asking for help becomes an act of survival. For Ashleigh, that moment came after watching her daughter Scarlett — her “Scar Girl” — endure yet another battle that no child should ever have to face.
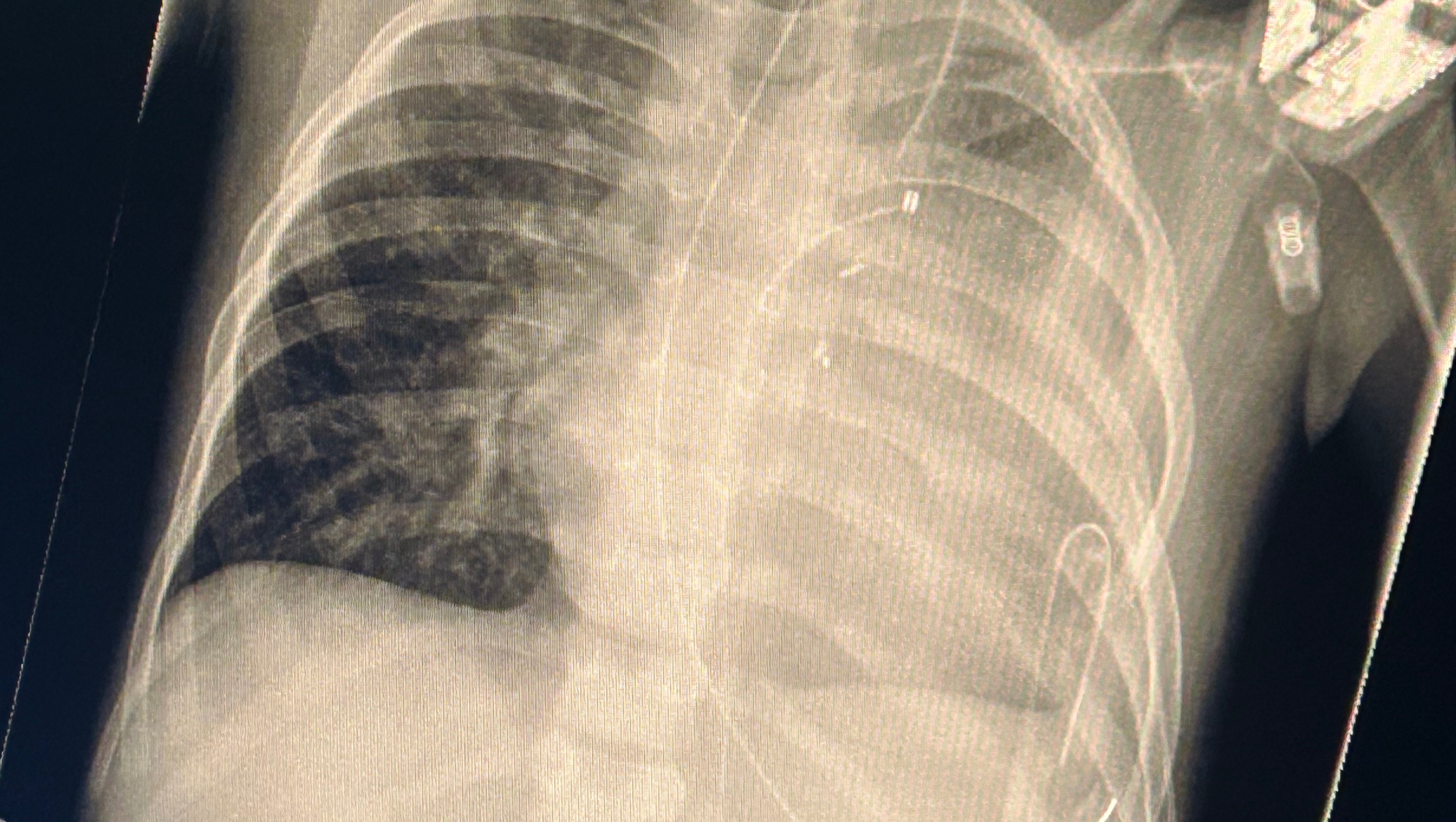
On January 5th, Scarlett underwent her fifth heart surgery. It was meant to be another step forward in a journey she has been walking since infancy, but complications in the operating theatre turned the procedure into a gruelling, nearly 12-hour fight for her life. Surgeons were forced to place Scarlett on cardiac bypass twice, a measure only taken when the heart and lungs need full support to keep going.
When the surgery finally ended, the relief was short-lived.
Scarlett developed an acute kidney injury, followed by a severe lung reperfusion injury — a condition where blood flow returning to the lung causes inflammation and damage. Her left lung collapsed, leaving only small pockets of open airways struggling to function. Breathing on her own became impossible. Machines had to step in, doing the work her tiny body could not.
Since that day, Scarlett has remained in the Paediatric Intensive Care Unit, reliant on a ventilator to breathe. Each day blends into the next, measured not by hours but by oxygen levels, chest scans, and whispered conversations between doctors. More than a week has passed, and her lung is still fighting to recover.
Then came another blow.
As if her body had not already endured enough, Scarlett developed chylothorax — a serious and complex condition where the lymphatic system leaks fats, proteins, and immune cells into the chest cavity. This complication brings with it a cascade of risks: malnutrition, dehydration, immune suppression, and worsening respiratory distress. Treatment has begun, but it is slow, uncertain, and far from easy.
Doctors have confirmed what her mother already knows in her bones: Scarlett’s hospital stay will be long.
This is not Scarlett’s first battle — and that makes it all the heavier.
In just the last 12 months alone, this is her second heart operation. In her six short years of life, it is her fifth. Scarlett has survived two cardiac arrests, life-threatening seizures, brain damage, and ECMO — a form of life support reserved for the most critical cases. She has lived through moments that would break even the strongest adults.
And yet, she has also lived through joy.
Ashleigh has watched her daughter dance for the first time. She has held her hand on her first day of school. She has celebrated every hard-won step during therapy — milestones that came not easily, but through relentless determination and love. Scarlett is not defined by hospital rooms alone. She is laughter, courage, and a fighter’s spirit wrapped in a small body.
But being a medical parent comes at a cost few ever see.
The financial reality of standing bedside for months at a time is crushing. It is compounded by a year already spent recovering from her previous surgery, where Scarlett required round-the-clock care, therapies, and constant monitoring. Life outside the hospital does not pause. Bills continue. Responsibilities remain. And yet, Ashleigh’s place is where it has always been — beside her daughter.
As a mother, she knows Scarlett needs more than medicine. She needs her mum’s hugs. Her reassurance. Her comfort. The quiet moments that tell a child she is safe, loved, and not alone. But staying there — day after day, week after week — is no longer something Ashleigh can manage alone.
Asking for help is not easy. It is humbling. It requires vulnerability. But it is being done for one reason only: to stay with Scarlett through this fight.
Scarlett has spent six years choosing life again and again. Ashleigh has fought beside her through every crisis, every setback, every miracle. She has advocated fiercely when Scarlett could not speak for herself. She has held hope when doctors could not promise outcomes. And she is still standing — exhausted, scared, but unwavering.
Now, she is asking for support.
Not for luxuries. Not for comfort. But for the ability to remain at her daughter’s side, to continue being the constant presence Scarlett has relied on through every battle. Even the price of a coffee, given with kindness, becomes a lifeline for this small family.
Scarlett’s story is one of relentless resilience — but resilience does not mean facing everything alone. It means allowing others to help carry the weight when it becomes too heavy.
As Scarlett continues her fight in intensive care, surrounded by machines, tubes, and the quiet hum of life support, one thing remains clear: she is deeply loved. And with a community standing behind her, she will never fight alone.
Much love,
Ashleigh — Scar Girl’s Mum 💖
Olaf :A Life Saved Again and Again, and a Fight That Still Isn’t Over.4200

Olaf came into this world far too early, born at just 28 weeks of pregnancy. From the very beginning, life tested him in ways most people will never understand. On the third day after birth, he suffered cerebral hypoxia and cardiac arrest. In that moment, his heart stopped. Olaf died for the first time — and was brought back. It was only the beginning of a journey marked by pain, resilience, and unimaginable strength.
He survived, but survival came at a terrible cost. In the weeks and months that followed, Olaf developed sepsis, meningitis, and a severe E. coli infection. He suffered a quadriplegic stroke that led to posthemorrhagic hydrocephalus, requiring the insertion of a peritoneal shunt. His tiny body faced anemia, retinopathy, and eventually a diagnosis that would define much of his life: cerebral palsy. Olaf’s childhood was never about play or carefree days. It was about survival. His parents have said goodbye to him three times already — each time unsure if it would be the last.

During his 17 years, Olaf has undergone countless complex surgeries. His heart valve, eyes, and spine have all required surgical intervention. At the age of six, he developed rapidly progressing kyphoscoliosis — a severe posterior-lateral curvature of the spine that compressed his organs and threatened his life. Breathing became difficult. Eating was a struggle. Pain was constant. In 2022, after years of searching for help, Olaf underwent a life-saving spine surgery at the Paley Clinic in the United States.
That surgery changed everything. For the first time, Olaf could breathe deeply. His organs returned to their proper positions. He could eat normal meals again. The pain that had dominated his life eased. His parents dared to hope that perhaps the worst was finally behind them.
But happiness, for Olaf, never lasts long.

In 2024, he underwent another surgery in the US — a femoral derotation. The goal was to reduce tension in his legs and protect the reconstructed spine. Instead, tragedy struck again. A severe complication occurred: damage to the peroneal nerve. Olaf’s pain returned, stronger than ever. He could no longer sleep through the night. Nothing brought him joy — not even singing, the one thing he loved most. As if that weren’t enough, his epilepsy returned with increasing frequency and intensity.
An urgent gluteal muscle transplant became necessary. The surgery alone cost over 200,000 PLN, followed by six months of intensive on-site rehabilitation costing another 100,000 PLN. Because of Olaf’s condition, travel had to be arranged in a higher class so he could remain bedridden. And even this was not the end — a tibial derotation surgery still lies ahead. The fight seemed endless.

In April 2025, Olaf underwent the muscle transplant and leg surgery. The excruciating pain that had tormented him finally stopped — a small but meaningful victory. Long-term rehabilitation began immediately. Yet epilepsy continued to haunt him, refusing to let go.
During their stay in the United States, doctors told Olaf’s parents about something extraordinary: NeuroCytotron therapy. This innovative treatment, available only in Monterrey, Mexico, uses electromagnetic waves to rebuild damaged neuronal connections in the brain. For children like Olaf, whose brain was damaged after a quadriplegic stroke, this therapy represents a true breakthrough — hope where medicine had nearly given up.

Thanks to funds raised earlier, Olaf completed his first NeuroCytotron protocol. The results, even after one cycle, were undeniable. His parents watched in amazement as small changes appeared day by day. Olaf became calmer and more focused. His concentration improved. He began seeing more clearly at a distance. His speech grew more logical — he started forming sentences, using more words, and connecting them to real situations. His sleep improved too. For the first time, he began sleeping on his back, stretching after waking, a sign of deeper, more restful sleep. His facial expressions softened; spasticity decreased. He even began, at times, to close his mouth — something he had never been able to do before.
These may seem like small things. For Olaf, they are monumental.

After completing the first protocol, Olaf qualified for the second NeuroCytotron cycle, scheduled for April 2026. However, the gluteal muscle transplant did not bring the full results doctors had hoped for. His leg remains shorter, and his foot is still positioned in a clubfoot posture. His parents are now seeking help at another specialized clinic in the United States.
NeuroCytotron therapy has already proven it can restore circulation in Olaf’s legs, reduce spasticity, and offer hope of controlling his epilepsy. It can rebuild neurons and their connections. But the cost is staggering. A single treatment cycle costs approximately 300,000 PLN, and Olaf needs several more. Travel and accommodation add even more to the burden — far beyond what his parents can manage alone.

Today, Olaf is back in Poland, stronger in some ways, still fragile in many others. His parents are exhausted — physically, emotionally, financially. They have given everything. And yet, they keep going, because Olaf is still here. Still fighting. Still responding to treatment.
They are asking for help not because they want to, but because they have no other choice.
Olaf’s life has been saved more times than most people can count. With support, it can continue — with less pain, fewer seizures, and more moments of peace, clarity, and joy.
